大変失礼しました。毎日AM0時に公開設定しますが、手違いで早く公開してしまい、慌てて非公開にしたところ0時に公開できなくなりました。今気が付いて修正しました。
人工透析の医療費が年間1兆円を超えている!現代人が知っておきたい「腎臓の抗老化」のための最新研究と食事習慣
髙取 優二(医学博士、腎臓専門医) によるストーリー • 3 日 • 読み終わるまで 5 分
血液のゴミはどうやって取り除かれるのか
全身に張りめぐらされた血管をすべてつなぎ合わせると、地球2周半(10万キロメートル)にもなるという話を皆さんも聞いたことがあると思います。
じつは、この血管のうちの99パーセントを占めているものが毛細血管なのです。
毛細血管は、名前のとおり「毛のように細い」血管で、その多くは細動脈と細静脈を結んでいます。毛細血管の直径は、5〜15マイクロメートル(マイクロは100万分の1)で、赤血球がやっと通れる程度で肉眼では見ることはできません。
腎臓は、毛細血管の塊でできているということもできます。この毛細血管の性質を利用して、腎臓は体の血液中の老廃物を取り除いています。
毛細血管には3種類ある!
あまり知られていませんが、毛細血管には3つの型があります。
●連続型毛細血管
心臓や肺、脳、骨格筋、神経、皮膚などで見られるもっとも一般的な毛細血管。閉じた毛細血管ともいわれる。
●有窓型毛細血管
閉じた毛細血管に対して毛細血管壁にたくさんの窓とよばれる小孔(しょうこう)がある。有窓型毛細血管は窓の特徴から2つのタイプに分けられる。
タイプ1:内分泌臓器、消化管、腎尿細管などの内皮細胞で見られ、窓の大きさがほぼ一定(62〜68ナノメートル)で規則的に線状に並んでおり、窓に薄い隔膜をもつ。隔膜についてその性質やはたらきはわかっていない。
タイプ2:糸球体で見られ、60〜80ナノメートルの比較的均一な窓が線状に並んでいるが、隔膜はもたない。
●非連続型毛細血管
肝臓にある肝類洞(かんるいどう)という血管網や骨髄の内皮細胞で見られ、100〜200ナノメートルの窓が不均一に存在し、隔膜をもたない。
多くの毛細血管は、動脈と静脈のあいだで、酸素や二酸化炭素、栄養分、老廃物の受け渡しを行っています。
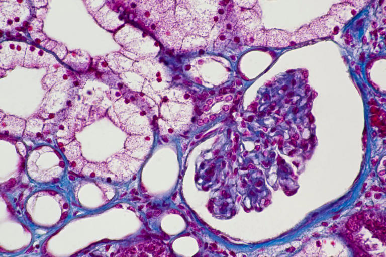
腎臓では、重要な組織「糸球体(しきゅうたい)」という組織が、血液を濾過するフィルターとして機能しています。糸球体は毛細血管が糸玉のように丸まって形成されたものです。
糸球体は人体でもっとも毛細血管の密集する場所
ただ、糸球体は毛細血管だけでできているのではなく、3種類の細胞から構成されています。
第一が毛細血管の内皮細胞、第二がメサンギウム細胞、第三が足細胞です。また、細胞ではありませんが、糸球体基底膜(きていまく)は糸球体のはたらきに大きく関係しています。
ここまでの説明でも、糸球体がかなり複雑な構造をしていることがイメージできると思います。
糸球体の大きさは直径0・1〜0・2ミリメートルです。その中には、毛細血管が糸玉のようにぎっしりと折り畳まれており、1個の糸球体の毛細血管の長さは約10ナノメートルにもなります。
人体でこのように毛細血管が密集した場所は糸球体のほかにはありません。
腎臓の糸球体にある3つのフィルター
糸球体を流れる血液は、毛細血管の内皮細胞、そして糸球体基底膜と足細胞でできた3層のフィルターから押し出されて濾過されます。
このとき、血液に含まれている人体に必要な赤血球やたんぱく質などが濾し出されないように、内皮細胞・糸球体基底膜・足細胞がフィルター(濾過障壁)になっているのです。
この3層構造で、サイズの大きい血球やたんぱく質は血液の中にとどめられて、水と一緒にブドウ糖、電解質、老廃物が濾過されています。
以前は、このフィルターの主役は糸球体基底膜だと考えられていたのですが、最近ではスリット膜だという説が有力になっています。
糸球体は毛細血管にかかる圧力で血液を濾過する
糸球体では血圧が50〜60(mmHg)で、15〜20(mmHg)であるほかの毛細血管と比べると非常に高くなっています。ここで「mmHg」は一般に水銀柱ミリメートルと呼ばれ、圧力の単位です。水銀柱の高さで圧力を測ったことに由来し、標準大気圧が760(mmHg)です。皆さんも健康診断などで測る血圧の単位はこの「mmHg」です。
糸球体は、この圧力を利用して毛細血管の中の血液から水分などを押し出して濾過していますが、話はそう単純ではありません。じつはこの圧力以外にも、血漿中のたんぱく質が血管内に水分を保持しようとする膠質(こうしつ)浸透圧とボウマン内の圧力であるボウマン内圧という、血管に水分を押し戻す力も関係しているからです。
血液と間質液を隔てる血管壁は、水や電解質などは通しても、粒子が大きいたんぱく質は通過させない選択的透過性をもつ半透膜です。
そのため、血管の中にはたんぱく質がたくさん存在しています。つまり、血液はたんぱく質の濃度が高くなっているのです。そのため、血管の中と外の濃度を同じにする方向に、血管の外にある間質液から水を引き込む浸透圧がはたらきます。これが膠質浸透圧です。
ボウマン内圧については、糸球体を包むボウマンの内側で発生している圧力です。 これらの力の釣り合いを見ると、糸球体の血圧(50〜60mmHg)が血液を押し出そうとしているのに対して、血液を押し戻す膠質浸透圧( 約25mmHg) とボウマン内圧( 約15mmHg)がはたらくので、濾過する圧力である糸球体濾過圧は10〜20(mmHg)となります 。
腎臓の疾患などで糸球体のフィルターが壊れ、たんぱく質が漏れ出す状態になってしまうとどうなるでしょうか。
この場合、膠質浸透圧が低くなることで、糸球体濾過圧が高くなります。
その結果、血液の水分量が減り、脱水に陥りやすくなるのです。また、結石ができるなどして尿細管がふさがれた場合にも、ボウマン内圧が高くなり血液が濾過されにくくなります。
糸球体は壊れやすい理由は、高圧ホースで説明できる
糸球体の毛細血管の内側は高い圧力を維持しています。これは高圧洗浄機を使って大量の水を壁に当て続けているような状態です。
高圧の水が当たると塗装がはがれて、その時間が長くなるほど壁はもろくなっていきます。血管壁も同様に、私たちが年齢を重ねるほどに圧力がかかる時間が長くなるので、毛細血管は壊れていきます。
また、糸球体の足細胞は細胞分裂ができません。そのため、一度壊れた糸球体は再生することがないのです。
フィルターの役割を果たす毛細血管の孔が大きくなれば、体に必要なたんぱく質や赤血球などが尿として排出されてしまいます。
こうなると、たんぱく尿や血尿といった症状があらわれます。 糸球体の先には傍尿細管毛細血管があります。
糸球体の毛細血管が壊れれば、傍尿細管毛細血管への血流が途絶えて、尿細管も縮み、ネフロンという組織の数が減っていきます。ネフロンの数が減っても、一日に作られる尿の量は変わりません。これは、残った糸球体が無理をしてはたらく「代償性糸球体過剰濾過」が行われているからです。
しかし、無理な仕事が長く続かないのは、人間も腎臓も同じです。残った糸球体も、過剰労働を強いられた結果、一つまた一つと力尽きて消えていきます。こうして、腎臓がフィルターとしての役割を徐々に果たせなくなります。
このように、老化とともに腎臓からネフロンが消えていきます。そして、失った機能は取り戻すことはできません。そのために、腎臓を酷使する生活には注意が必要なのです。
*本記事は、『腎臓の教科書』髙取優二・著から一部抜粋し、再編集したものです。
「病院内での飲食禁止を徹底して継続することも大事」、「入院前の検査を全例している。予定入院の前日に来てもらって検査をしている。それでもすり抜けて入院後に陽性になり、そこからクラスターにつながる。緩めたらもっとひどいことになる」との意見もありました。… https://t.co/C6WhaXGXPx
— ねこアレルギー 岩井 (@k_orchestra) October 5, 2025
福田 世一@小倉台福田医院 @fseiichizb4 2025.10.3 日本ファクトチェックセンター 古田大輔 「厚労省がコロナワクチンの感染予防効果について承知していない」と2025.9.30厚労大臣が発言したかのような森田洋之医師の投稿は謝り コメ: 2023.8.2古田氏「2021年厚労省が感染予防効果あると言ってました? 記憶にありません」 この動画で古田氏がスッとボケてるのがよくわかる。 こういう人が日本ファクトチェックセンターの編集をやてるんだよ。 https://news.yahoo.co.jp/articles/5b5bd240b6f978dd6cf6655cc44013a3fef31bdf
2025.10.3 日本ファクトチェックセンター 古田大輔
「厚労省がコロナワクチンの感染予防効果について承知していない」と2025.9.30厚労大臣が発言したかのような森田洋之医師の投稿は謝りコメ:
2023.8.2古田氏「2021年厚労省が感染予防効果あると言ってました? 記憶にありません」… https://t.co/EXXjfuuIgA pic.twitter.com/9WlpIv2C7d— 福田 世一@小倉台福田医院 (@fseiichizb4) October 5, 2025
目頭@四毒抜き生活 @Awakend_Citizen 炎症と修復を繰り返した組織はコラーゲンが過剰に沈着して硬い「瘢痕組織」になります この瘢痕化が 胃に起きているのが萎縮性胃炎です 膀胱に起きているのが萎縮性膀胱炎です 肺に起きているのが間質性肺炎です 組織の炎症・修復過程で働く代表的なサイトカインであるTGF-βがコラーゲンを大量に再生させ、そこに他の炎症性サイトカインが加わると、修復のブレーキが壊れてしまい更に線維化・瘢痕化が進むのです これの大きな原因が、まず小麦のグルテンです グルテンは腸のタイトジャンクションを緩め、腸管バリアを破壊し、腸内細菌や未消化の食物が体内に漏れ出して慢性炎症を起こすのです この炎症は腸管だけでなく胃や全身臓器でも起こります だから小麦を常食する人は萎縮性胃炎になるのです 小麦が常に炎症を作り出しているからです そしてもう一つの原因が植物油です 植物油のリノール酸は炎症性サイトカインであるTNF-αやIL-6を増やします これらは炎症性体質を助長し、慢性炎症の燃料となるのです さらに乳製品も原因の一つです 乳製品のカゼインは腸管炎症を悪化させます そしてトドメは甘い物です 甘い物を食べると全身に発生する終末糖化産物(AGEs)が慢性炎症や酸化ストレスを強め、血管・臓器の線維化を加速させるのです わかりましたでしょうか 小麦、植物油、乳製品、甘い物の四毒を常食している人が、萎縮性胃炎や間質性肺炎、間質性膀胱炎になるのです 四毒抜きは迷信や宗教ではなく、れっきとした根拠のある科学です 健康でいたい人は、四毒を控えましょう ご家族にこのような病気の方がいるなら、できる限り四毒を控えるように誘導してあげて下さい (参考)https://youtube.com/live/d7uhMSwjk3E?si=PCAmOx5x2lqmTe8O @YouTube より
炎症と修復を繰り返した組織はコラーゲンが過剰に沈着して硬い「瘢痕組織」になります
この瘢痕化が
胃に起きているのが萎縮性胃炎です
膀胱に起きているのが萎縮性膀胱炎です
肺に起きているのが間質性肺炎です… pic.twitter.com/1CnFOcTO4u— 目頭@四毒抜き生活 (@Awakend_Citizen) October 4, 2025
何が働き方改革だ、バカバカしい。
働ける者、働きたい者は懸命に働くんだよ!
医療界も、バカコロナに負けず頑張りましょう!— バイパー (@HAGENOKINBA) October 4, 2025
若いのに打っちゃったんだろうな https://t.co/uiFHNLXC9O
— no fishing no life (@H0ATyDBdPG5hqwJ) October 3, 2025
【速報】千葉市立海浜病院の偽サイト確認 実施していない「病児・病後児保育」の申し込み装う…市が注意呼びかけ(千葉日報オンライン) – Yahoo!ニュース
え?まだコロワク勧めてんの? https://t.co/Uadv09mHAh
— ぴりか (@hbssPYaQq5LW9f9) October 5, 2025
— 花幸🌸 (@GyTOGf3RTanlp98) October 4, 2025
医師会の雑誌のコメント抜粋です。
朝晩涼しくなりましたがまだ暑い、温暖化対策は大事だ
総裁選候補達は減税を訴え、医療改善に触れていない残念だ
コロナは風邪じゃない、ワクチン副反応過剰反応で接種率が激減してる、医療者で接種を勧めないといけない
頭がクラクラ😵💫してきました。
— バイパー (@HAGENOKINBA) October 4, 2025
内科医の端くれ @naika_hashikure 「〇〇ハラ」って男性をたしなめるための言葉だよな。 人々がイメージする「〇〇ハラ」の加害者はいつも男性。 女性の「パワハラ」「セクハラ」「アカハラ」等々だって存在するはずだけど、ほとんど問題にならない。それはそもそも女性がすることがハラスメントと見做されにくいからなのでは。 ただまあだからと言って女性の「〇〇ハラ」も平等に問題にしろということではなく、そもそも「〇〇ハラ」だらけになる世の中が窮屈で仕方ないので、男女関係なく何でもかんでも「〇〇ハラ」と表現したがるのやめましょうと言いたい
「〇〇ハラ」って男性をたしなめるための言葉だよな。
人々がイメージする「〇〇ハラ」の加害者はいつも男性。女性の「パワハラ」「セクハラ」「アカハラ」等々だって存在するはずだけど、ほとんど問題にならない。それはそもそも女性がすることがハラスメントと見做されにくいからなのでは。…
— 内科医の端くれ (@naika_hashikure) October 4, 2025
がん告知された長男が退院しました
本当に頑張ってくれました
応援して下さった皆さま有難うございました
おかげさまで明るい笑顔が戻ってきました
心より感謝申し上げます
やはり一番は「気持ち」と思います
今日からまた家族5人で楽しく暮らします
皆さまもどうぞ楽しくお過ごし下さい✨ pic.twitter.com/XG9qw1YKH3— 大阪に住む唯の男 (@Tqbz0adPzjIOdGT) October 5, 2025
ひっくり返ったよ✨
🇺🇸🐯
RFK.Jr
コロナワクチン💉
😷・マスク
ソーシャルディスタンスを
推奨した科学者を解雇しました pic.twitter.com/jLD7FIR4C2— 💙Kumi1111𑁍 𑁍 𑁍🐈⬛💙🎐🇯🇵⛩️🌿🐯🇺🇸 (@kumi11117777) October 4, 2025
たかだか酔っ払いタレントが下半身露出したくらいで逮捕されるのに、安全で有効と謳われたワクチンで公費4.7兆円も投じて1000人以上が死んでも誰一人逮捕されてないのは流石におかしくない?? https://t.co/LHkNDHlAQ5 pic.twitter.com/w7GZdzjVky
— ひじき(荒川♯)未来志向 (@honninnoakaunto) October 4, 2025
単に打たないだけの者は反ワクではない!(キリッ pic.twitter.com/YlFnXrUUoK
— Dr. ゲレゲレ (@Geregere_Y) October 3, 2025
新型コロナワクチン
感染予防効果❌
重症化予防効果❌
発症予防効果⭕️→自然免疫抑制だから、その長く効く作用により、接種した方ほど他感染しやすくなるし、多種多様な病気を発病しやすくなる。他のブロック系の薬(例えば抗生物質やステロイド)の濫用でも、同様の副作用が生じます。 https://t.co/LmcBNIVLJN pic.twitter.com/8B5IjSCngz
— キノシタ薬品 (@kinoshitayakuhi) October 3, 2025
The moment this nervous rescue dog realizes she’s finally safe..🐶🐾🥺❤️
Adopt, don’t shop..🙏 pic.twitter.com/iOt277da2P
— 𝕐o̴g̴ (@Yoda4ever) October 3, 2025
・・・・・・・・・・・・・・・・・・・・・・・・・・・・・・・・・・・・・・・・・・・・・・・・・・
7月24日 睡眠時無呼吸症候群は放っておくと心臓に影響が及び、狭心症の発作に悩まされることになります。寝ているときに呼気が吐けない、無意識に努力して吐き出そうとするが、気道閉塞のためそれが出来ず、呼吸が出来なくなってしまします。この繰り返しが心臓に負担をかけ、いつしか狭心症の発作へ変わっていきます。これはあるときに急に訪れます。奥歯が痛いと思ったらその数秒後、左胸が締め付けられる痛みが襲ってきます。これはなかなか治りません。仕事で運転しているとき、急にこのようなことになりました。仕方なく路側帯に止めてしばらくじっとしていました。このまま行くとどうなるかは分ると思います。無呼吸は放っておいたら絶対ダメなんですね。
7月22日 首の前側を緩めることのメリットは何か? たまに寝ているときに寝違いが起こり、起きた時に痛い!となりますが、こういうときに無事でいられます。普段から緩めていると、首に不具合が起きたときに平気ですし、追突されてむち打ちになったときでも回復が早くなります。強くなったのではなく、柔軟性が出てきたからです。ここから肩、首に起こる頚肩腕症候群にも罹らずに済みます。身体の運動レベルも上がるでしょう。もっとも上肢の調整は必要ですが。めまいや無呼吸に止まらず、応用範囲は沢山あります。
7月14日 今まで言わずに来ましたが、ここで言っておきます。1ヶ月間無料のアンリミテッド会員登録は便利ですが、1ヶ月経つと課金されます。私の改善法は2~3ヶ月かかるのが普通ですから、その時には本がないということが起こります。細かいことも書いてありますので、購入して貰った方が良いと思います。
7月4日 本当に久しぶりですが、耳の圧迫感が出てきました。最近はやることが多くて、首のマッサージをやっていませんでした。これは、と思い首を緩めてみると、徐々によくなっていきました。圧迫感だけは嫌ですね。何とも気になってしまい、嫌な気分になると思います。右と左で聞こえる感じが違うのです。イライラしていたあの頃を思い出します。全くやらないよりは、たまにメインテナンスをする方が良いようです。本の中で重要項目として紹介しています。
2025年6月20日 ここのサイトからAmazonへ飛んでいく人が多いので、都度改訂するよりもここに書いた方が良いのかも知れません。
めまいにしても無呼吸にしても肥満の人が多いと思います。その解決策は、すばり植物油を断つこと。そして油は肉や魚から摂る。筆者は今から1年前に植物油をやめて、体重が大幅に減っています。一時期は68㎏ありましたが、今は60㎏です。体調が良い自己ベストは62㎏ですから、一気に改善したことになります。痩せるサプリなどは全く必要ありません。もし仮に不具合があればここで真っ先にお伝えします。現代人は油の摂りすぎだと言われますが、何でもかんでもで、お菓子の中にも入っており、油のないものは南部煎餅くらいです。
それから首の前側を緩める方法ですが、どうも指導の方法が難しいようで、色々考えました。喉仏を挟むようにして、ごく小さい範囲を緩めることから始めて段々大きくしていくのが良いと思います。いずれ改定時に載せていきたいと思います。
※ 睡眠時無呼吸と聴覚障害の関係に触れています。筆者も両方を同じ時期に発症しました。難聴もそうですが、めまい、耳の圧迫感など苦しみました。耳と呼吸器が近い位置にあり、相互に関連していることが示唆されます。繰り返しの試行によって既に分っていますが、その場所は上気道で、ここから耳へは耳管でつながっています。気道を確保するには喉の部分を緩めていくこと。サプリだけでは無呼吸回数が減るだけですから、ここの改善法を使って下さい。
※ コメントを付けて戴きました。嬉しさ一杯。自分では書けないんですよね。連絡できませんが、ありがとうございます。脳梗塞の症状より、めまいの方がもっと辛かったと思いました。
最近の広告によると『耳鳴りの原因は耳の中の腫れ』だそうです。こうやってずっと騙され続けたのに、また騙されようとしています。楽して治したいのは分りますが、そのようなお手軽な方法はありません。自分の身体の使い方が全ての原因ですから。
2024年10月25日に日本でレビュー済み
※ 変形性ヒザ関節症の本が削除されました。価格変更申請が問題だと思いますので後でまた出版したいと思います。どちらも解消まで2~3ヶ月はかかりますので、冬の今から取り組んでおいた方が良いと思います。
医療でも治らない病気が多くあります。無呼吸症はCPAPを外して初めて治ったということが出来ます。めまいは残念ですがなくす薬はありません。でも医療で治せないからといって全ての対処法が無効なのでしょうか。私の経験からいうと、医療で治せないからこの方法が有効だと言いたいのです。ここで紹介している方法は人の手を煩わせることなく自分で実施できるものです。何年も治らない重症の方をお待ちしております。
めまい ふらつき 耳の圧迫感 耳鳴りはどうして治りにくいのかを考察して、本当の解消法を提示します。薬や手術で治すものではなく、耳と関係のある部位を刺激することにより改善していくことが可能。今まで治らなかった人でも実施できます。予約受付中 7月29日発売 画像をクリック
後の世代が症状で困らないために! 周囲に困っている人がいたら教えてあげて下さい。
画像をクリック
※ 睡眠中に舌の付け根が下がる問題に対して、新たに舌筋肉をシェイプアップする方法を加えて増強しました。当サイトのテーマでもある『睡眠時無呼吸 めまい』何年にもわたって解消法を探してきました。その結果がここにあります。今も症状に苦しむ人に贈る、すべての知識と試行錯誤の集大成。
腱鞘炎が酷くなると何もしなくても痛みが襲ってきます。日常生活を痛みなく送るためには、速やかに解消することが必要です。



@nshinchan2786
1 日前